25 306
06 сентября 2019 в 10:54
Источник: Полина Шумицкая. Фото: Максим Малиновский

Изнутри: как белорусские хирурги вместе с американцами делают операцию на сердце, которая даже для США — редкость

Источник: Полина Шумицкая. Фото: Максим Малиновский

Конечно, журналист не должен испытывать предвзятую симпатию. Но в этот раз каемся: грешны. Невозможно сохранять холодный скепсис, когда из операционной в своей «счастливой шапочке» с рыбами выходит рентгеноэндоваскулярный хирург Олег Полонецкий, — он говорит о медицине человеческим языком, умный и открытый взгляд его вызывает уважение. Человек на своем месте.

Сегодня у Олега, который еще и руководит рентгеноперационной в РНПЦ «Кардиология», — большой повод для гордости. Пятнадцать человек в операционной: американцы, французы, белорусы; больше четырех часов напряженной работы — и вот молодому человеку спасли сердце. Спасли жизнь. То, что вчера казалось фантастикой, сегодня стало реальностью: зайти внутрь сердца, изменить объем одного из желудочков, не вскрывая грудную клетку и не останавливая сердце.

С коллегой из американской клиники

— То, что мы делаем сегодня, — это международное клиническое исследование. Но это не значит, что проводится какой-то эксперимент на людях (улыбается. — Прим. Onliner), потому что методика уже прошла верификацию, она безопасна. 

На самом деле, эту операцию в мире выполнили не больше чем 50 раз — в ведущих центрах США и Европы. Это тот нечастый случай, когда мы абсолютно нос к носу, ноздря в ноздрю со всем передовым сообществом.

О чем речь? Умные медицинские инженеры в Калифорнии из Ancora heart придумали устройство, которое может вылечить человека с сердечной недостаточностью. Оно дает шанс тем, у кого этого шанса прежде не было даже в США. Пока что созданное американцами устройство не продается. Это сложная международная цепочка: от клинических испытаний до выхода на рынок.

— Эффективность видна на пациентах, которым уже выполнили такую операцию. На американском ТВ были сюжеты о том, как человек умирал, в США не было никаких вариантов ему помочь, а после операции он фактически возвращается к нормальной жизни. И это при том, что процедура малоинвазивна, не требует разрезов грудной клетки. Нужен только небольшой доступ через бедренную артерию. 

Сердечная недостаточность — это слабость сердечной мышцы, которая развивается по разным причинам, от воспалительных заболеваний до генетических нарушений или закупорки сердечных сосудов. Это уже далеко зашедшая стадия. Сердце начинает сокращаться плохо, его полость расширяется… Это как воздушный шарик: чем больше мы его надуваем, тем тоньше становится его стенка, и рано или поздно наступает момент, когда он раздувается бесконтрольно, и сердце превращается в шар, который не способен сокращаться. Для человека это означает одышку, отеки, скопление жидкости в брюшной полости, при малейших физических нагрузках — беспокойство. Человек не может спать в горизонтальном положении, потому что он задыхается, не может пройти по лестнице или даже по ровной поверхности — возникает одышка. 

В таких ситуациях варианты лечения достаточно ограниченны. На каком-то этапе — медикаментозная терапия, крайне недешевая. Затем мы плавно переходим к хирургическому лечению, вершиной которого является пересадка сердца. До последнего момента середина между таблетками и серьезной хирургией (имплантация искусственного сердца, трансплантация человеческого сердца) была пустая. А середина — это и есть инновационные методики, которые мы сейчас под руководством нашего заместителя директора по кардиологии Елены Курлянской активно ищем и внедряем. За последние три года мы привезли в Беларусь несколько методик, направленных на лечение именно таких пациентов.

Сегодняшняя операция волнительна и тем, что нашим врачам нужно было предоставить все протоколы и отчеты своим коллегам в Колумбийский университет в Нью-Йорке: там специальный комитет оценивает успешность операции, одобряет выбор пациентов и так далее.

— Работаете с Колумбийским университетом? Да вы крутые!

— Мы? Да (смеется. — Прим. Onliner). Вот как это было. С Еленой Константиновной два года назад мы поехали на специфическую медицинскую конференцию, послушали презентации. Выбрали именно эту технологию. Нашли представителей компании-производителя, взяли их за пуговицу и просто не отстали, пока они не согласились приехать в Беларусь. 

Я недавно читал, как случилось экономическое чудо в Сингапуре: из самой бедной страны они стали самой богатой страной в мире. В правительстве выделялся конкретный человек — чиновник, которому поручалась определенная международная корпорация, он туда ехал и не возвращался до тех пор, пока какой-нибудь топ-менеджер этой компании не приезжал с ним в Сингапур. Вот примерно так же мы вели себя с Еленой Константиновной. Тут надо сказать, что эти люди из американской компании — очень симпатичные. Но мы их настоятельно дожимали, потому что, естественно, это не надо объяснять, присутствует скепсис по отношению к Беларуси, к бывшим советским республикам. Но мы убедили их, что можем. Предоставили результаты нашей рутинной деятельности. Они увидели, оценили, приехали. Это заняло почти два года. Плюс одобрение протокола операции в Министерстве здравоохранения. Это тоже своего рода прецедент, потому что существовали некоторые пробелы в законодательной практике. Все было решено при поддержке Минздрава. Мы нашли абсолютное взаимопонимание вплоть до уровня министра. 

В итоге трое тщательно отобранных пациентов получили шанс на нормальную жизнь после операции. У всех у них — сердечная недостаточность. После операции их будут наблюдать в РНПЦ «Кардиология». Медики надеются на быстрое восстановление, в течение нескольких дней.

— Сердечная недостаточность — это пандемия. Эпидемия, уносящаяся жизни во всех развитых странах. Мы даже не представляем, как много таких пациентов. В Беларуси их тысячи. Пациентов, которые подходят под эту методику, — сотни.

Почему так много? «Пока гром не грянет, мужик не перекрестится». Люди обращаются слишком поздно. Иногда болезнь развивается молниеносно. Но чаще причина в том, что человек приходит к врачам в таком запущенном состоянии, когда он не может ходить, не может дышать.

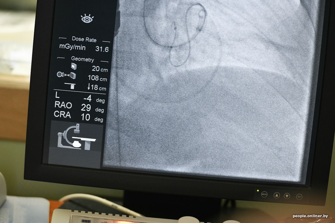
Это не просто прогрессивная методика, она очень интересная, если можно сказать, остроумная. Калифорнийские специалисты создали устройство, которое позволяет уменьшить раздутый желудочек сердца изнутри. Устройство заводится внутрь полости сердца, и в стенку сердца изнутри вводятся якоря, соединенные ниткой, шнуром. Стягиваются. Тем самым раздутый желудочек уменьшается, принимает свой оптимальный размер, начинает лучше работать. Потому что чем желудочек больше, тем сложнее ему сокращаться по физическим законам. Я ввожу катетеры через бедренную артерию под контролем рентгена и ультразвука. Техника заключается в том, чтобы через артерии довести устройство до сердца и расположить внутри именно там, где нужно. Тут уже работает команда: и кардиологи, и ультразвуковые диагносты, и мы, рентгеноэндоваскулярные хирурги. 

Больше четырех часов в операционной — и можно выдохнуть. Операция удалась. Молодого пациента ждет длинный путь: сердечная мышца восстановится не сразу, а постепенно.

— Операция прошла успешно. Все довольны. Это большое дело и для нас, и для пациента, и для компании-производителя. Это не рутина. Правда, никто не ожидал, что будет так долго. В любом случае это шаг вперед для всего нашего здравоохранения, новая технология, многообещающий метод лечения. Ну и нам приятно — нас хвалят (улыбается. — Прим. Onliner). Устал ли я? А чего уставать — работа такая. В таких операциях больше выматывает процесс подготовки, когда идешь к этому два года, а сегодня пиковый момент, ключевой… Это приятная усталость.

Читайте также:

Наш канал в Telegram. Присоединяйтесь!

Быстрая связь с редакцией: читайте паблик-чат Onliner и пишите нам в Viber!

Перепечатка текста и фотографий Onliner.by запрещена без разрешения редакции. nak@onliner.by