Спецпроект

«В моем поколении никто не буллит из-за брекетов в 17 лет». Разговор о ровных зубах и самооценке

33 081
21 ноября 2022 в 8:00
Источник: Полина Лесовец. Фото: Максим Малиновский, Анна Иванова. Обложка: Максим Тарналицкий
Спецпроект

«В моем поколении никто не буллит из-за брекетов в 17 лет». Разговор о ровных зубах и самооценке

Источник: Полина Лесовец. Фото: Максим Малиновский, Анна Иванова. Обложка: Максим Тарналицкий
Выиграй модный аэрогриль! Покупай в приложении с доставкой Príme и получай шанс выиграть аэрогриль Roome

Стоит лишь произнести слово «брекеты», как глубинное бессознательное подбрасывает картинки из подросткового кино: строгая социальная иерархия в колледже, где парням и девушкам с металлическими скобками во рту якобы полагается место внизу пирамиды. Возможно, в эпоху, когда людей оценивали исключительно по внешности, так и было. Но, если отбросить привычный миф, что мы знаем о брекетах сегодня? А о других системах, исправляющих прикус? Во сколько лет лучше выравнивать зубы? Капы и элайнеры — это одно и то же? Почему они не сработают, если снимать их на ночь? Сейчас подростков буллят из-за брекетов? Разбираемся вместе со стоматологом-ортодонтом Инной Емельянчик и студенткой Кариной. Спецпроект с центром эстетической стоматологии «Мастодонт» продолжается.

«Подростки сейчас не стремятся снять брекеты побыстрее»

Инна Емельянчик, определенно, самый нежный доктор, когда-либо встреченный журналистами Onlíner. Сложное устройство ортодонтического мира она постаралась объяснить на понятных примерах.

— «Прикус» — прямо научное слово. Объясните, пожалуйста, простым человеческим языком, что это такое.

— Наверное, совсем простым не получится, но я постараюсь (улыбается. — Прим. Onlíner). Прикус — это, можно сказать, взаимоотношения зубных рядов. То, как они смыкаются (или не смыкаются). Бывает условно правильный, физиологический, и неправильный, патологический прикус.

Если у человека правильный прикус, он может хорошо пережевывать еду, иметь четкую дикцию и привлекательную улыбку. При неправильном прикусе все ровно наоборот: жевательная нагрузка неравномерная, определенные зубы перегружены. Итог — повышенная стираемость эмали, воспаление связки, которая удерживает зуб, болезни желудка, проблемы с височно-нижнечелюстным суставом, нарушенная эстетика лица… Человек стесняется улыбаться и — в некоторых случаях — даже показываться в социуме. Последствий может быть множество, хотя не все из них обязательны.

— Есть ли какой-нибудь элементарный тест на правильный прикус — условно говоря, укусить яблоко и посмотреть на отпечаток?

— К сожалению, такого теста не существует. Правильно поставить диагноз может только квалифицированный врач-ортодонт. Но есть несколько признаков, которые должны насторожить человека.

Во-первых, посмотрите в зеркало, плотно сжав зубы: все ли зубки нижней и верхней челюстей контактируют между собой? Если нет, это вызывает вопросы к прикусу.

Во-вторых, обратите внимание на форму зубных рядов. В норме верхняя челюсть должна быть в виде полуэллипса, нижняя — параболы. Заодно освежите школьные знания геометрии (улыбается. — Прим. Onlíner).

И наконец, в-третьих: насколько глубоко верхние зубы перекрывают нижние? В норме должно быть примерно 30%. Если верхние зубы перекрывают нижние больше чем на 70%, это неправильный глубокий прикус.

— Может быть такое, что прикус человека отличается от нормы, но ничего лечить и исправлять не нужно?

— Да, такое бывает, но достаточно редко. Неправильный прикус — это все-таки патология, которую нужно лечить, а не просто эстетический изъян.

— Человек решил исправить прикус в 30+ лет или до 18 — есть разница?

— Конечно. У ребенка ортодонт может сильнее повлиять на форму и смыкание зубных рядов, ведь организм еще растет. Костная ткань достаточно пластична. А у взрослого — да, лечение проводить нужно, оно показано, но эффект будет ограниченным. Ведь рост лицевого скелета завершен, костная ткань более плотная. Чаще приходится работать несъемной техникой, то есть брекетами. Не всегда можно добиться идеального результата без хирургического вмешательства.

Но, на самом деле, нет верхнего порога, при котором показано ортодонтическое лечение. Сейчас много пациентов и 30+, и 40+, и даже 50+. Конечно, более взрослые пациенты часто вынуждены исправлять неправильный прикус, которым не занялись в юности, именно перед протезированием. Понадобилось вставить имплант или коронку — приходится восстанавливать контакт между зубами. Это необходимо сделать, ведь из-за неправильного прикуса, тесного положения зубов или их наклона врач-ортопед просто не может изготовить качественный протез.

— Самое популярное слово в лексиконе ортодонта — «брекеты»?

— Возможно. Хотя тут жесткая конкуренция с «элайнерами» (улыбается. — Прим. Onlíner).

Брекеты — это, если говорить простым языком, маленькие замочки, которые клеятся к зубам на специальный бонд. В них вставляется дуга с заданной идеальной формой. И под ее действием зубы стремятся занять правильное положение. Пусть дуга и выглядит тонкой, миниатюрной, на самом деле она состоит из сплава, который изначально придумали для военно-космических целей. Он обладает «памятью формы». Это значит, что тоненькая дуга огибает все искривления, заходит на каждый зуб, но постоянно пытается вернуться к изначальной форме. Слабое, но неумолимое воздействие на зубы — это и есть «секрет» брекетов. Конечно, процесс медленный, занимает не день и не два. Здесь нужны месяцы, а порой и годы, чтобы зубы заняли свое правильное положение.

— А если поточнее: как долго нужно ходить с брекетами? Восемь лет — это не шутка?

— Сроки лечения очень индивидуальны. Они зависят от исходной ситуации, возраста пациента и контакта с врачом (да-да). Средний срок — около двух лет. У кого-то год, у кого-то два с половиной… В исключительных, сложных случаях носить брекеты придется дольше. Но восемь лет — это, конечно, очень долго. В моей практике такого не было.

Поделюсь наблюдением: последние несколько лет пациенты, особенно подростки, не стремятся избавиться от брекетов побыстрее. Они охотно решаются на лечение и даже не хотят снимать брекеты, когда оно подходит к концу (улыбается. — Прим. Onlíner). Думаю, все дело в том, что сейчас стало трендом заботиться о себе, своем теле и здоровье. Люди в брекетах перестали стесняться. Брекеты, наоборот, считаются неким символом осознанности и интеллекта. Подростки любят ходить с ними, считают своим украшением. И меня такое отношение очень радует.

Ну а для тех, кто все же стесняется брекетов, скажу: сейчас существуют не только металлические, но и эстетические модели. Например, керамические. Они менее заметны на зубах, хотя стоят дороже и обладают большей хрупкостью — это нужно учитывать.

— Что скажете о таком распространенном мифе: брекеты обязательно оставят следы на зубах?

— Сами брекеты эмаль зубов не портят. Когда их снимут, место под площадкой будет абсолютно гладким, аккуратным, нетронутым. Откуда же эти самые следы, про которые вы говорите? Они могут оставаться, если во время лечения человек недостаточно следил за гигиеной полости рта, не до конца вычищал зубной налет вокруг брекетов, и, следовательно, скапливались бактерии, начинался кариес. Такие ситуации возможны, если пациент, особенно ребенок, не слушает доктора. А вообще, проблема легко решается правильной техникой чистки зубов. Нужны специальная щетка для брекетов, зубная паста, монопучковая щетка, межзубные ершики, суперфлосс, ирригатор, ополаскиватель.

— А как насчет мифа: с брекетами начну шепелявить, дикция полетит в тартарары?

— Тут важно понимать, что брекеты могут устанавливать с наружной стороны зубов — то, что мы видим чаще всего, они называются вестибулярными, и с внутренней — лингвальные. С вестибулярными дикция практически не страдает, потому что ме́ста для языка достаточно. А вот с лингвальными она будет меняться, причем значительно. Но человек адаптируется ко всему. Буквально первую неделю-две будет непривычно, а потом уже снова начнете нормально разговаривать.

— Подготовка зубов для брекетов — это ведь отдельная статья расходов?

— Да. Нужно заранее вылечить все кариесы и воспалительные процессы, сделать профгигиену. Часто требуется хирургическая подготовка, например удаление зубов мудрости или установка ортодонтических мини-винтов.

— Брекеты нужно обслуживать у стоматолога каждые два месяца?

— Верно. После установки нужно регулярно проводить коррекции: менять дуги, двигаясь от более тонких к более толстым, жестким. Кроме того, иногда врач может ставить кнопки, надкусочные пломбы, резиновые цепочки… Рутинной работы здесь много, не будем перечислять все зубодробительные термины, чтобы не утомлять читателя (улыбается. — Прим. Onlíner).

В зависимости от того, лигатурные у пациента стоят брекеты или самолигирующие, нужно приходить на коррекцию раз в месяц либо раз в полтора-два.

— Брекеты реально влияют на здоровье или просто улучшают внешность? Это нарциссическая история, стремление быть идеальным?

— Думаю, и то и другое. Я бы разделила показания для установки брекетов на функциональные (когда человеку действительно трудно жевать, нарушена дикция) и эстетические (когда прикус хороший, нейтральный, но хочется улучшить эстетику, например исправить небольшую скученность отдельных зубов; да, функции не страдают, но пациента смущает не совсем правильное и не совсем красивое положение).

— Как пережить пару лет в роли «дурнушки Бетти», пока носишь брекеты?

— Я думаю, их можно пережить замечательно (улыбается. — Прим. Onlíner). Да, порой у людей в голове живут стереотипы, но тут нужно работать со своим мышлением и все-таки правильно расставлять приоритеты. Как я уже сказала, последние годы наблюдаю, что пациенты в целом не стесняются ходить в брекетах, делают это с гордостью, ведь брекеты — показатель заботы о себе.

Здесь история чем-то похожа на грилзы — цельнолитые металлические коронки, которые ставятся на зубы. Их обожают рэперы. Инкрустируют туда бриллианты, что угодно. Это становится частью образа, и условный Канье Уэст гордится блеском во рту. Так почему бы не гордиться брекетами?

— Что такое «съемные пластинки»? В каких случаях выбирают их?

— Съемные пластинки используют в основном у детей. Они состоят из пластмассы и проволоки. Хотя в названии есть слово «съемные», эти аппараты носят почти постоянно, и днем, и ночью, снимая лишь во время еды и чистки зубов. Здесь важное условие — кооперация врача и пациента. Иначе пластинки не сработают. Ребенок должен быть психологически готов к лечению, хотеть исправить прикус, понимать, для чего все это. Результат очень сильно зависит от исполнительности юного пациента и настойчивости родителей.

Я никогда не встаю в позу «сурового доктора с розгами», стараюсь мотивировать мягко. Не пугаю. Объясняю последствия: что будет, если не заниматься исправлением прикуса. Раскладываю по полочкам неприятные моменты с повышенной стираемостью или гастритами в будущем. Больше меня слушают, конечно, родители. Ребенку это не особенно интересно в 9 лет (улыбается. — Прим. Onlíner).

— Как работают несъемные расширители?

— Их тоже используют у детей. Винт, ортодонтические кольца и специальные лапки крепятся на молочные пятые зубы и клыки. В домашних условиях родители постепенно раскручивают винт по схеме, составленной врачом. Аппарат хороший, эффективный. Он помогает решить проблемы, исправить которые во взрослом возрасте будет достаточно сложно — вплоть до того, что придется идти на хирургическую операцию. Преимущество — это важно, когда речь идет о детях — в том, что он не съемный. Ребенок не может выбросить или не носить расширитель. Условный недостаток — аппарат «крадет» часть пространства у языка. Первое время после установки может страдать дикция. Поэтому я обычно рекомендую дома побольше читать и разговаривать вслух, чтобы ребенок быстрее адаптировался.

— Капы и элайнеры — это одно и то же?

— Не совсем. Капы — это общее название, под ним подразумевают много всего: и детские силиконовые двухчелюстные трейнеры, изготовленные заводским способом, которые нужно носить два часа днем плюс всю ночь; и всяческие конструкции для взрослых, например съемные ретейнеры.

Элайнеры — это, если сказать совсем просто, набор прозрачных кап, изготовленных индивидуально под каждого пациента. Они исправляют неровные зубы, перемещая их на доли миллиметров в нужном направлении. Возможно, внешне элайнеры выглядят хрупкими, но на самом деле пластик достаточно плотный. В определенных случаях это альтернатива брекетам для взрослых. Цена зависит от количества кап, которые понадобятся за время лечения.

Как все происходит с элайнерами? После первой консультации пациенту снимают слепки с челюсти, делают фото лица и зубов, панорамный снимок либо КЛКТ (конусно-лучевую компьютерную томографию. — Прим. Onlíner). Затем данные передают в лабораторию, которая изготавливает элайнеры. Там все сканируют, переводят в 3D-вариант и создают цифровую модель перемещения зубов. Это называется 3D setup. Виден буквально каждый шаг: где, как, куда будут двигаться зубы. Сразу прописывается, сколько понадобится элайнеров: например, 16 для верхней челюсти и 13 для нижней. Можно посмотреть и конечный результат — это очень удобно для врача и пациента.

Элайнеры нужно носить 22—23 часа в сутки, снимая только во время еды и чистки зубов. Поэтому, в отличие от брекетов, чистка зубов не отличается от обычной. Каждые две недели нужно надевать следующую пару элайнеров, в которой заложено новое положение зубов, стремящееся к конечному правильному. К врачу-ортодонту приходят для контроля раз в два-три месяца.

— Придется ли продавать почку, чтобы оплатить брекеты или элайнеры?

— Почку однозначно продавать не стоит (улыбается. — Прим. Onlíner). Оплата в стоматологических клиниках, как правило, растянута на весь период лечения. То есть пациент платит поэтапно. Самая большая статья расходов — это непосредственно установка брекетов. Платежи за коррекции значительно меньше. Нужно понимать, что ортодонтическое лечение высокотехнологично и требует много времени, а потому дешевым быть не может.

«Раньше девушка с брекетами — все, конец, крест на личной жизни. А я так не считаю. И мое поколение — тоже»

Карине 17 лет, она учится на втором курсе юридического колледжа БГУ и честно рассказывает свою историю отношений с капами и брекетами.

— После пятого класса зубы начали кривиться. Мама сразу повела меня к ортодонту. Сначала ставили капы, но, скажу честно, я их не очень хорошо носила — соответственно, результата не было. Например, нужно всю ночь с ними спать, а мне иногда не хотелось. Сразу после установки было больно, и я решила: «Зачем мучиться? Сниму-ка их». Не соблюдала рекомендации, в общем. Когда в 14 лет я захотела сделать все как надо, мне сказали: уже поздно, капы ситуацию не исправят и не помогут, только брекеты. У меня сформировался неправильный прикус, плюс один передний зуб залазил на соседний, а это не очень-то красиво.

В марте 2021 года, пересмотрев перед этим множество видео на YouTube, я пришла в клинику, и вместе с лечащим врачом мы выбрали самолигирующие брекеты. Страха, что будет больно, не было. Наоборот. Мы с сестрой в детстве смотрели мультик «Гравити Фолз», я его очень любила, и там у главной героини, Мэйбл, были брекеты. И я такая: «Хочу брекеты!»

Когда их ставят, это вообще не больно. Лежишь в кресле с открытым ртом и скучаешь. Потом проходит один день, второй… Начинает немного тянуть. Понятное дело, дуги работают. Замочки трутся о внутреннюю поверхность губ, и первое время это непривычно. Но наклеиваешь специальный воск — и максимум через два дня привыкаешь.

Раз в месяц или два я хожу на коррекцию. Раньше ставили такие крючочки, на которые крепятся резиночки — это чтобы исправить прикус. Поначалу с ними было больно, приходилось даже пить обезболивающие, но, хвала богам, этот период закончился.

Очень приятно, что доктор Инна Юрьевна Емельянчик так внимательно ко мне относится. Перед каждой коррекцией спрашивает: «Что бы ты хотела поменять?» А ведь гипотетически могла бы сказать: «Будет так, как я хочу, и плевать, чего хочешь ты!»

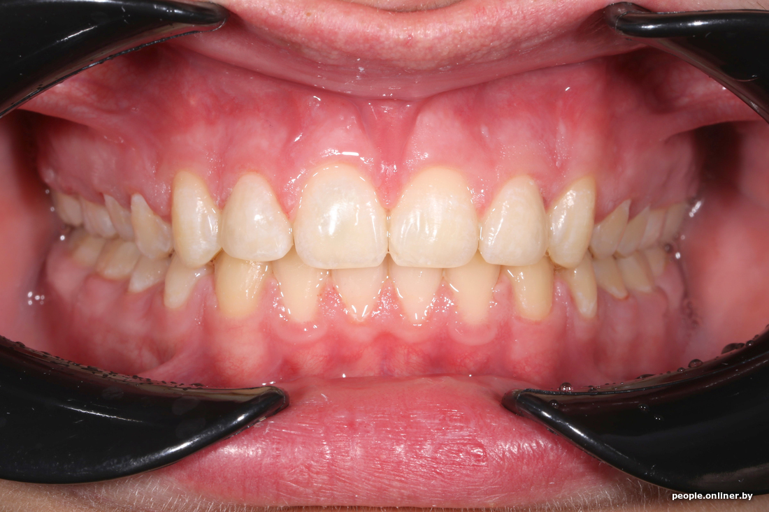
Уже полтора года, как я ношу брекеты. И ни разу не пожалела, что их поставила! В жизни это никак не мешает. Мне, наоборот, нравится, что у меня брекеты. Думаю, они мне идут. Когда занимаешься собой, это всегда выглядит хорошо. Меня ничего не смущает и не напрягает. Я не бегаю за ортодонтом: «Ну когда уже снимем, когда?!» (смеется. — Прим. Onlíner).

Дикция никак не изменилась. Единственное, чистить зубы нужно чаще и дольше, да — пять-семь минут вместо обычных двух: классической щеткой, пучковой и ершиком, конечно. Плюс ирригатор, если есть возможность, но это необязательно. Чистить нужно каждый раз после еды, чтобы кусочки пищи не застревали вокруг замочков и не развивался кариес. Моя мама изначально очень опасалась кариеса и поэтому относилась к брекетам со скепсисом. Но я объяснила: все зависит от того, как человек будет чистить зубы. У меня с этим все окей. За брекетами, на самом деле, не так сложно ухаживать, как может показаться. Спустя месяцы я уже делаю это на автомате.

Общеизвестный принцип: с брекетами нельзя есть орехи, чипсы, сухарики, нугу, нельзя кусать яблоки, жевать жвачку. Но я, если честно, спокойно ем не слишком твердые орехи. Некоторые ограничения можно обойти.

Когда я пришла в школу с брекетами, все такие: «Вау, красиво, прикольно!» У людей сразу интерес. Замечают брекеты, говорят: «Да, зубы стали ровнее, видна разница». Не встречала людей, которым бы не нравилось, как это выглядит. Я сама вижу огромную разницу между моими зубами полтора года назад и сегодня.

Вообще, у моего поколения более здоровые отношения с внешностью и телом. XXI век сейчас! Даже если отмотать пленку всего на 20 лет назад, это большая разница. Мои сверстники спокойно принимают инаковость, нет никакого буллинга. Никто не осуждает и не критикует брекеты. А ведь, полагаю, 40 лет назад чья-то жизнь могла быть безвозвратно испорчена из-за того, что человек носил в школе брекеты. Раньше, даже если посмотреть американские фильмы, брекет-система была показателем некрасивости. А я так не считаю. И мое поколение, подростки, тоже так не считает. Возьмите любую комедию про колледж в жанре young adult, сериал вроде «Дурнушки Бетти» (либо его российскую копию «Не родись красивой»): девушка с брекетами — все, конец, крест на личной жизни. Но это неправда.

Наклеивать людям ярлыки, делить на «популярных» и «непопулярных», выдумывать некую социальную пирамиду, оценивать по внешности — это прошлый век. В моей группе все общаются, у каждого свои друзья. Так было и в школе, и сейчас в колледже. Открою страшную тайну: в отличие от кино, в реальной жизни не существует «королев школы» и «несчастных лузеров» (смеется. — Прим. Onlíner). Нет такого разделения. Я никогда не была в обществе, где подростков бы буллили, оскорбляли, унижали.

Из плюсов жизни с брекетами — у меня увеличились губы. Даже будет обидно снимать (смеется. — Прим. Onlíner). Как я понимаю, эффект наступает из-за того, что губы трутся с внутренней стороны о дугу и замочки, соответственно, кровь приливает, они становятся чуть больше.

Мой главный совет людям, которые подумывают о брекетах, — честно ответьте себе на вопрос: готовы ли вы к такой мере ответственности? Сможете ли с ней справиться? Будете ли честно соблюдать все рекомендации? Если да, то бояться нечего. Это не так больно, как многие думают. И, самое главное, не стесняйтесь. Ведь что тут такого? Если ты занимаешься собой, это прекрасно!

Сейчас я стала замечать людей с брекетами в городе. Мысленно про себя улыбаюсь, думаю: «О, мой человек!»


Партнер проекта — «Мастодонт»

Стоматология «Мастодонт» оказывает обширный спектр стоматологических услуг. В нашей клинике используется новейшее оборудование, имеющее все необходимые сертификаты и лицензии. Специалисты имеют высшее профессиональное образование и высокую квалификацию. В нашей клинике вы можете получить бесплатную консультацию и комплексную диагностику полости рта, а также обсудить рекомендации и возможные варианты лечения.

Оказываем услуги по страховке. Можно рассчитаться картами рассрочки «Халва» и «Карта покупок».

«Мастодонт» — центр эстетической стоматологии!

Спецпроект подготовлен при поддержке ЧУП «Леди Чиз», УНП 190055261.

Читайте также:

Наш канал в Telegram. Присоединяйтесь!

Есть о чем рассказать? Пишите в наш телеграм-бот. Это анонимно и быстро

Перепечатка текста и фотографий Onlíner без разрешения редакции запрещена. ng@onliner.by